Braces Treatment Before and Afters
Braces Treatment Before and Afters

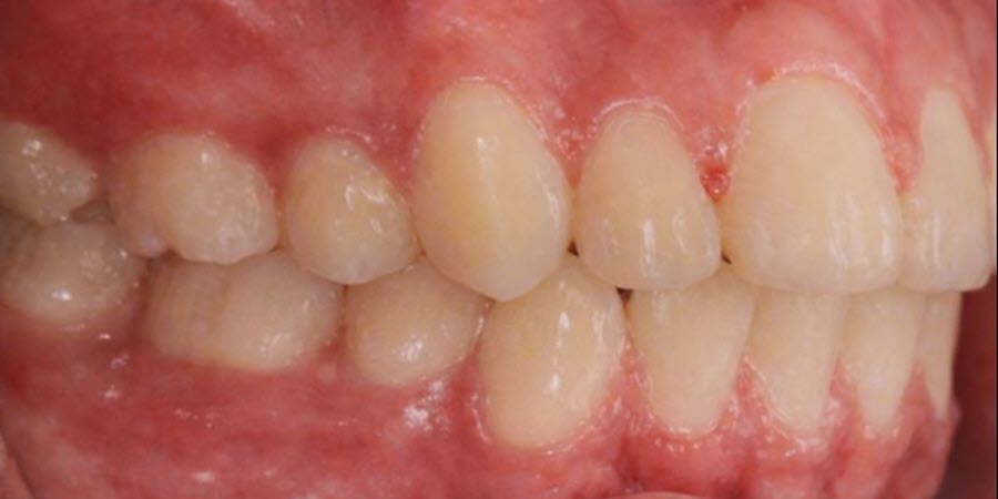
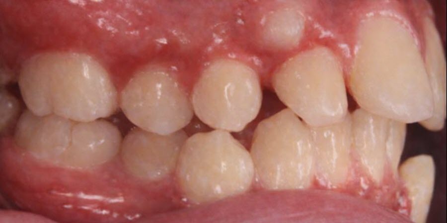
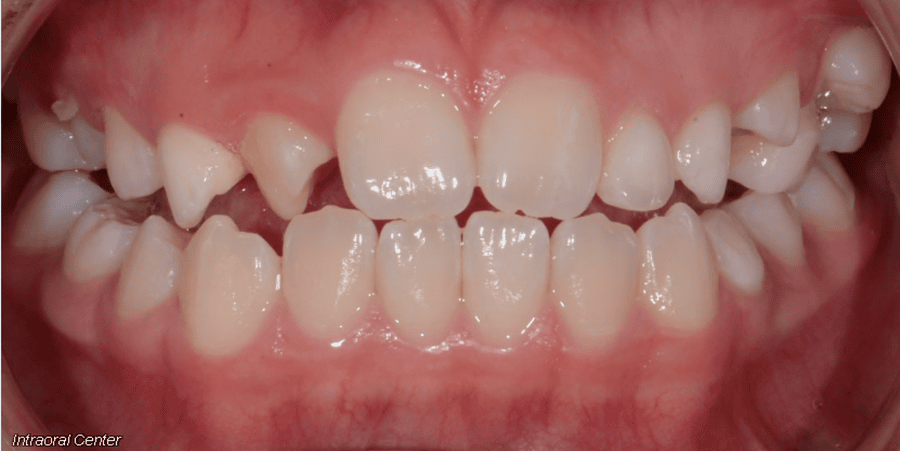
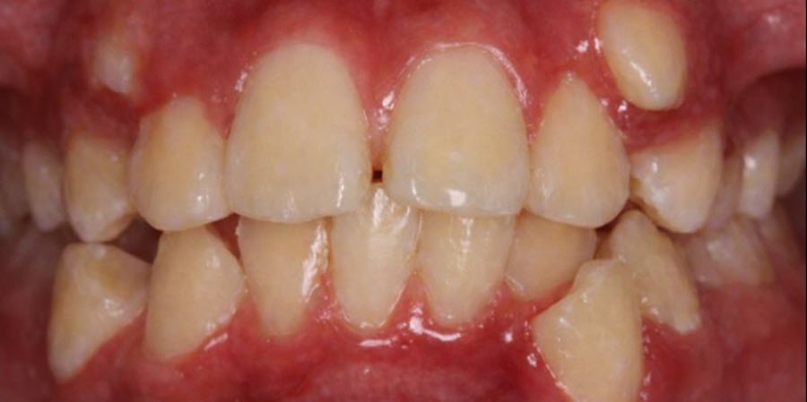
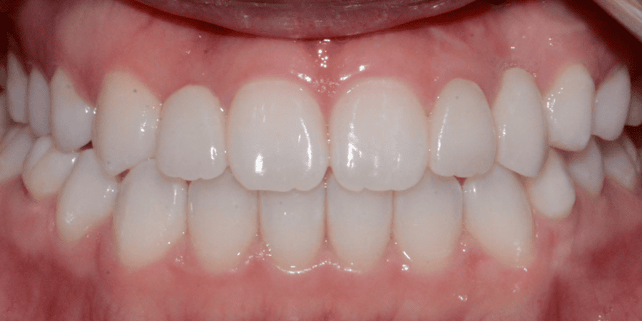
Before

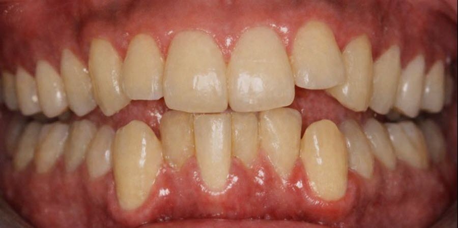
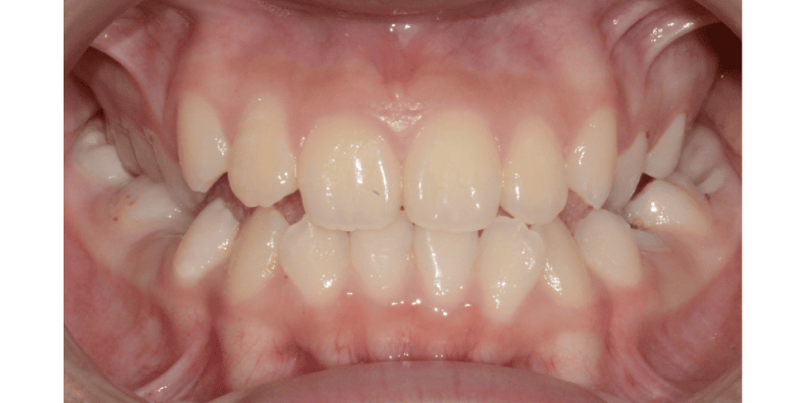
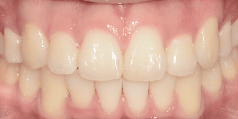
After

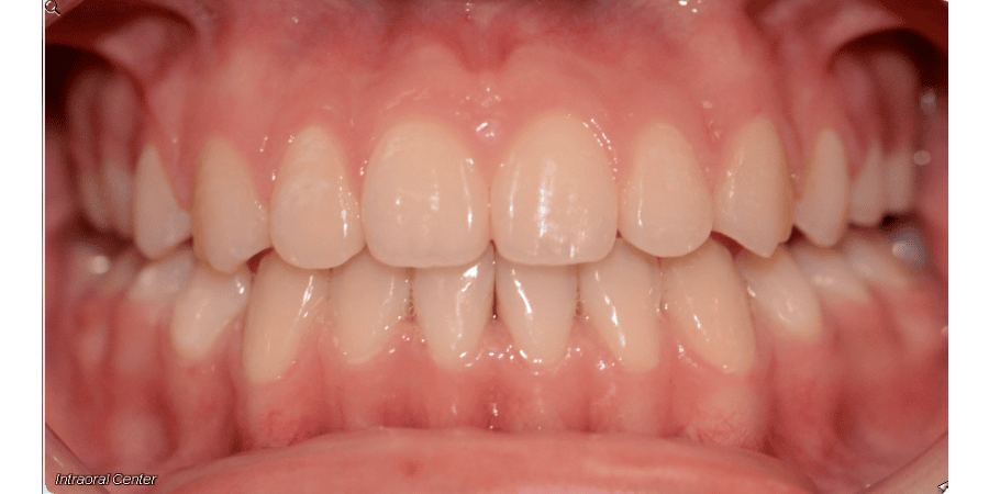
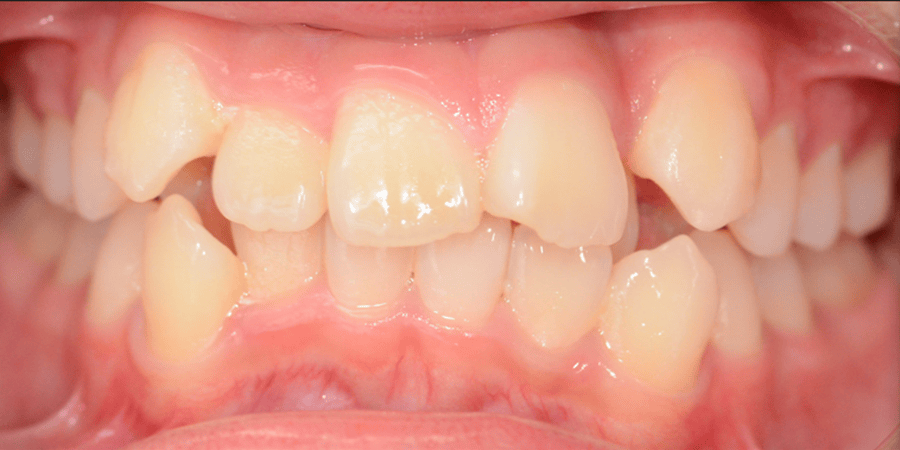
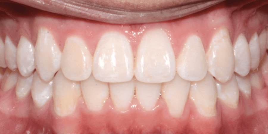
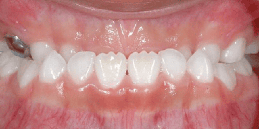
Before

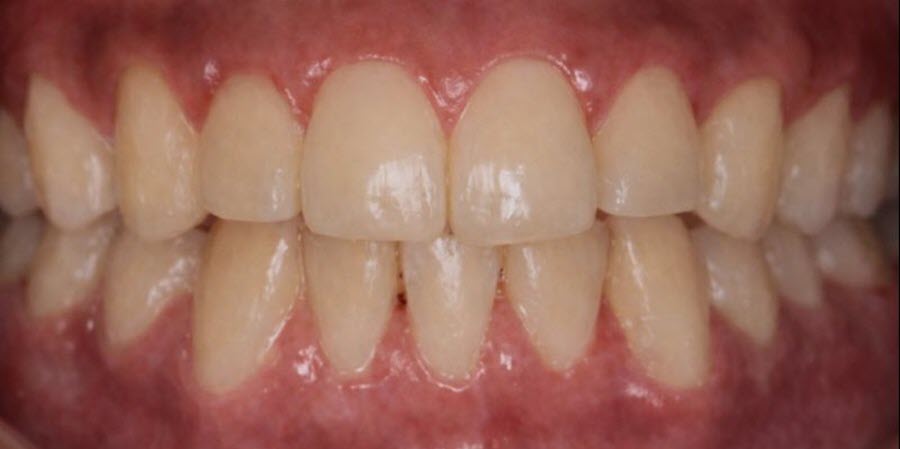
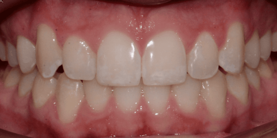
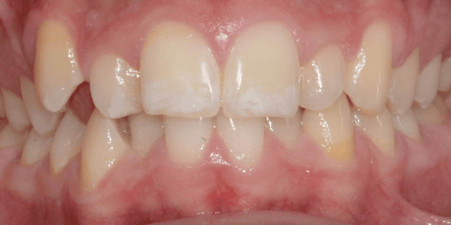
After

Before

After

Before

After

Before

After

Before
